歯周病

0422-293-872 24時間WEB予約
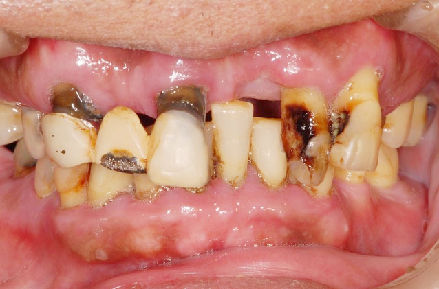
キービジュアル
セカンドオピニオン対応

グラグラ重度歯周病
お任せください
可能な限り抜歯を防ぐ

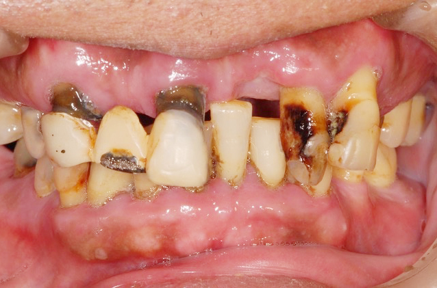
  • 治療前
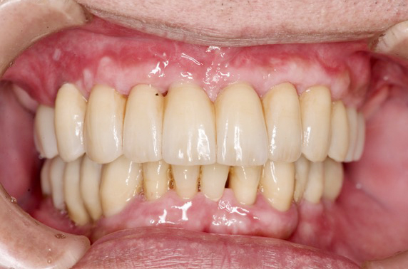
  • 治療後
  • 治療前
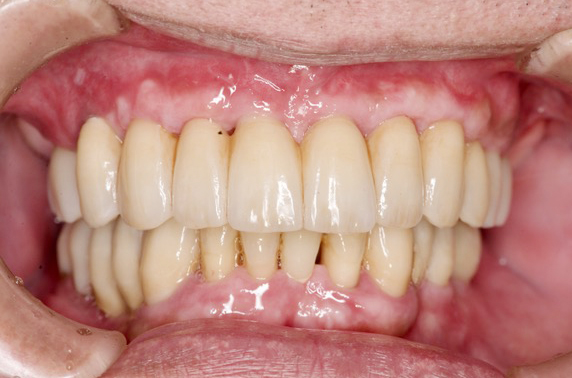
  • 治療後
  • 治療前
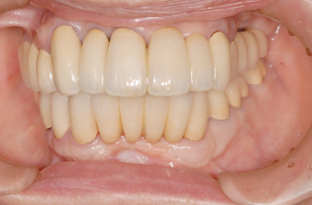
  • 治療後
このようなお悩みをお持ちの方は、当院へご相談ください。

再発を繰り返している
歯がグラグラしている
出血や口臭、腫れなどの症状が強い
出来るだけ抜歯はしたくない

歯周病で歯がグラグラの方へ

歯周病が進行すると、歯を支えている骨が吸収され、歯がぐらつく状態になることがあります。このような場合には、失われた骨の回復を目的とした歯周組織再生療法が検討されます。当院では、再生療法の一つとしてノンメンブレンテクニックを採用しています。

ノンメンブレンテクニックについて以下で詳しくご説明します。

特徴!ノンメンブレンテクニックで骨造成の期間を短縮

歯周病が進行すると、歯を支えている骨が溶けてしまいます。当院では歯周組織再生療法の一つであるGBR法を用いてこのような重度の歯周病に対処しています。
当院では、「ノンメンブレンテクニック」を用いてGBRを実施します。
従来であれば、失われた骨の部分に骨補填材を入れたあと、その上から人工の膜「メンブレン」をかぶせて骨が再生するための環境を作ります。

一方でノンメンブレンテクニックでは、この人工の膜を使用しません。
その代わりに、医科用の止血剤を使用します。歯周組織の再生を促す「リグロス」という薬品を「バイオス」という骨補填材に混ぜて固めることで、内部に安定したスペースを形成します。これにより、膜に頼らずとも骨再生に必要な環境を確保できるのが大きな特徴です。
膜を使わないことで血液の流れが保たれやすく、体が持つ回復力が働きやすいと考えられています。また、膜の露出による感染リスクを抑えやすく、手術時間の短縮につながります。

ノンメンブレンテクニックを用いることで以下のようなメリットがあります。

メリット

  • 治療期間が短くなる
  • 骨再生が早い
  • 腫れにくい

こんな方におすすめです

歯周病が進行し、歯がグラグラしている方

歯を支える骨が失われているケースでは、骨の再生を促すことで歯の安定が期待できます。
実際に骨の再生の期間が半年から3カ月に短縮できたケースもあります。

できるだけ治療期間を短くしたい方

条件が整えば、従来よりも比較的短期間で骨の回復が進みます。実際に、治療期間が2分の1程度に短縮できたケースもあります。通院期間を抑えたい方におすすめの治療法です。

外科処置の負担や感染リスクを抑えたい方

人工の膜を使用しないため、手術時間の短縮や感染リスクの軽減が期待できます。

「歯を残す」ことだけが最善とは限りません

当院のドクターは、歯周病治療や歯周組織再生療法を中心に多くの症例に携わっており、他院では対応が難しいとされるケースについても診療を行っています。

当院では、まず「できるだけ歯を残す治療」を大切にしていますが、保存が困難な場合にはそのままにせず、歯周病の治療を十分に行ったうえでインプラント治療を検討することもあります。

インプラントの「専門医」も在籍しており、長期的な安定性や見た目の自然さにも配慮した治療に取り組んでいます。
また、矯正治療によって歯を移動させ、欠損部を閉じる「矯正による欠損治療」が適応できる場合もあります。
  • 治療前
  • 治療後

特徴!歯周病の専門家が在籍しています

理事長のの岡昌由紀と院長の山本大樹は、日本臨床歯周病学会に所属しています。
さらに、日本歯周病学会の認定歯科衛生士も在籍しており、専門的な知見を共有しながらチームで連携し、科学的根拠に基づいた治療に取り組んでいます。

理事長:岡 昌由記

理事長:岡 昌由記

経歴

広島大学歯学部卒

資格・所属学会・団体

  • 日本口腔インプラント学会 専門医
  • 日本顎咬合学会
  • 日本臨床歯周病学会
  • 日本審美歯科学会
  • 東京JIADSスタディクラブ
  • CTG
  • オステオインテグレーションジャパン
  • サティフィケイト
  • サティフィケイト
  • サティフィケイト
  • サティフィケイト
  • サティフィケイト

院長:山本 大樹

院長:山本 大樹

経歴

広島大学卒業
広島大学臨床研修修了
東京大学医科学研究所 粘膜免疫学分野
医療法人 すいた駅前歯科
医療法人社団歯由会 石神井公園歯科クリック

資格・所属学会・団体

  • 日本口腔インプラント学会
  • JSCT
  • 5D-FST
  • 5D-SPIS
  • CTG
  • CISJ
  • サティフィケイト
  • サティフィケイト
  • サティフィケイト

重度の歯周病を治す流れ

当院で行っている具体的な治療の流れと治療前の検査方法についてご紹介します。

治療前に行う検査内容

歯周病の治療を進めるうえで、初期の検査と診断を大切にしています。この段階で原因を正確に把握することが、その後の治療結果に大きく関わるためです。

咬合検査

噛み合わせのバランスが崩れている場合、特定の歯に強い力が集中し、歯を支える骨や歯ぐきに負担がかかることがあります。
その結果、炎症が広がったり骨の吸収が進むこともあるため、噛み合わせの状態についても確認しておくことが大切です。

唾液検査

唾液検査では、お口の中に存在する細菌の種類や数、活動の状態を確認します。歯周病の原因を把握するうえで重要な検査の一つです。

遺伝子検査

歯周病に強く関与するとされる「P.g.菌」について、遺伝子検査を用いて詳しく調べていきます。

CT検査/レントゲン検査

CTレントゲンを用いて、歯を支えている顎の骨の状態を詳しく確認します。歯周病は骨が溶けていく病気であるため、進行の程度を正確に把握することが重要です。

原因菌を徹底的に除去

歯周病は、歯周病菌と呼ばれる細菌によって引き起こされる感染症で、歯ぐきに炎症が起こることで進行していきます。
一般的な治療では、細菌が付着した歯石(細菌のかたまり)を取り除く処置が行われますが、歯周病菌は歯石のように目に見えるものだけではありません。そのため、お口の中に存在する目に見えない細菌にも対応していくことが、歯周病の改善を目指すうえで大切です。

特徴!目に見えない菌まで殺菌「トリプル殺菌療法」

当院では、目に見えない細菌への対応として、3つの方法を組み合わせた「トリプル殺菌療法」を行っています。
いずれもお口への負担に配慮した方法で、治療中の痛みもほとんどありません。

光線力学療法 「PDT(フォトダイナミックセラピー)」

PDT(光線力学療法)は、光に反応する薬剤を歯周ポケット内に入れ、その後に特定の波長の光を当てることで細菌に作用させる治療方法です。

器具による歯石除去では届きにくい歯周ポケットの奥にいる細菌にも対応できるとされています。

Nd:YAGレーザー (ネオジウムヤグレーザー)

ネオジウムヤグレーザーは、色素に反応して熱エネルギーを発生させる特徴を持つレーザーです。

歯周ポケットの深い部分まで届き、殺菌や止血に作用することが期待されます。奥深くの感染や出血のコントロールに用いられ、歯周病の進行抑制を目的とした治療に活用されます。

炭酸ガスレーザー(CO2レーザー)

炭酸ガスレーザーは、歯ぐきや粘膜などの軟らかい組織に作用するレーザーです。

止血効果が高く、出血を抑えながら処置を行いやすい点が特徴です。殺菌作用も期待されますが、YAGレーザーと比べると外科的な処置に適しており、目的に応じて使い分けられます。

セカンドオピニオンにも対応

歯周病は「サイレントキラー」とも呼ばれ、自覚症状が少ないまま進行することがある病気です。

そのため、気づいたときには症状が進行しているケースも少なくありません。特に重度の歯周病になると、対応が難しいと判断される場合もあります。
当院では、歯周病治療に加え、必要に応じて各分野の専門的な視点を取り入れながら治療を行う体制を整えています。

現在ほかの歯科医院で治療を受けている方でも、不安や疑問がある場合は「セカンドオピニオン」としてご相談いただけます。

初診「個別」相談へのご案内

当院では、患者さんが抱えていらっしゃるお口のお悩みや疑問・不安などにお応えする機会を設けております。どんなことでも構いませんので、私たちにお話ししていただけたらと思います。
ご興味がある方は下記からお問い合わせください。

吉祥寺U歯科クリニック

ご予約・お問い合わせ
0422-293-872

〒180-0004
東京都武蔵野市吉祥寺本町
1-25-10 TRビル7階

吉祥寺駅「北口」2分

このページの先頭に戻る